Dr. Sam Friedman, diretor técnico e diretor médico da medicina nuclear no Pitts Radiologia (http://www.pittsrad.com) e um blogueiro de radiologia (www.doctordalai.com), faz uma análise do iPAD e seu uso na radiologia.
Características e dimensões
Para aqueles que passaram a maior parte de 2010 em uma caverna - ou pelo menos sem banda larga (o que equivale a viver em uma caverna) - do IPAD é um computador muito fino com uma tela colorida , um botão "Home" na frente, controle de volume, um interruptor e uma entrada para fone de ouvido nas laterais. Sua forma e a tela Multi-Touch são as principais características do IPad. A tela Multi-Touch do IPad é baseada na mesma tecnologia revolucionária do iPhone.
Especificações:
- Altura: 242,8 mm
- Largura:189,7 mm
- Profund.:13,4 mm
- Peso:0,68 kg modelo Wi-Fi e 0,73 kg, modelo Wi-Fi + 3G.
- processador A4 do IPAD é executado a 1GHz (embora a Apple não confirme isso), e tem 256 MB de DRAM embutido no processador. O usuário pode optar 16, 32 e 64 GB de Memória flash para armazenar músicas, fotos, vídeos e, claro, aplicativos.
- resolução da tela: 1024 x 768 pixels (XGA) e uma proporção de 4:3; medidas de 9,7 polegadas (25 cm) na diagonal, e possui um backlight LED.
A tela do IPad é adequada para o diagnóstico por imagens?
O iPAD está de acordo com DIN V 6868-57:2001-02 (em conformidade com os testes de dispositivos médicos). O IPAD excede os valores para Dispositos médicos Categoria A (exceto mamografia que exige luminância igual ou superior a 3.000 cd/m2 no negatoscópio).
- Luminância (min): 1,88 cd/m2
- Luminância (máx.): 363 cd/m2
- Relação de Contraste: 193:1
- Ls: 0.33 cd/m2 (visualização desligada, luminosidade da luz ambiente na tela)
Aplicativos para visualização:
A questão final é se o IPAD vai ser útil como um viewer em radiologia. Depois de muito brincar, eu posso responder honestamente que "talvez" ou mesmo "Provavelmente." Com os softwares de hoje, IPAD pode ser uma base portátil espetacular. Se isso é o mais longe que consigamos chegar, eu provavelmente não iria sair e comprar um apenas para esse fim. Mas eu acho que estamos no começo de algo revolucionário.
A RAM bastante baixo (256 MB), será um obstáculo. As versões posteriores podem melhorar esse aspecto.
Um cliente PACS no seu iPAD. Você pode tentar conectar ao PACS através de um dekstop virtual o que o autoe conseguiu pelo Agfa IMPAX via Citrix (veja imagem abaixo).
![]() |
| Agfa IMPAX via Citrix |
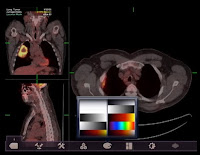
ResolutionMD Mobile (imagem abaixo) roda em um servidor OEM e é acessado por rede Wireless, permite pesquisar em qualquer PACS conectado e exibe qualquer imagem DICOM. Mas o que você vê não é armazenada no IPAD, portanto os problemas com privacidade dos dados dos pacientes são minimizados.
![]() |
| ResolutionMD Mobile |
"Eu não acho que o IPad irá substituir o nosso PC baseado no PACS tão cedo. No entanto, se o hardware e software irão progredir como que penso que sim, eu prevejo que haverá um monte de IPad em nossos departamentos - e, mais importante, fora da sala de radiologia." escreve Dr. Sam Friedman.
Artigo Original:






E eu sigo babando,babando...rs
ResponderExcluirnós seguimos...
ResponderExcluircomprei o meu há alguns dias e como leitor de livros é fantástico!! faço consultas rapidamente... estou apaixonada por ele
ResponderExcluir